به گزارش شهرآرانیوز، رئال مادرید که در یک بازی حساب شده موفق شد بارسلونا را در الکلاسیکو شکست دهد، با مشکل بزرگی مواجه شده و احتمالاً چند ماهی هافبک فرانسوی خودش را در اختیار نخواهد داشت.
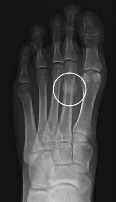
طبق اعلام تیم پزشکی مادریدیها، شوامنی پس از الکلاسیکو از ناحیه استخوان متاتارس دوم انگشت پای چپش دچار شکستگی شده و هرچند زمان دقیقی برای بازگشت او اعلام نشده، ولی طبق ادعای رسانههای اسپانیایی، چنین مصدومیتی دو ماه ریکاوری نیاز دارد. 
بدین ترتیب به نظر میرسد کارلو آنجلوتی برای مدتی از ادگاردو کاماوینگا در این پست استفاده خواهد کرد.